实验指南 | 掌握蛋白Marker选用技巧,提升电泳与转膜效率!-技术前沿-资讯-生物在线

实验指南 | 掌握蛋白Marker选用技巧,提升电泳与转膜效率!

作者:上海万生昊天生物技术有限公司 2025-12-16T00:00 (访问量:830)

公众号头图 gif.gif

蛋白Marker,即蛋白分子量标准,是一种由已知分子量的多种蛋白质组成的混合物。其主要作用是在电泳或转膜过程中指示目标蛋白的位置。然而,面对预染、非预染、不同分子量范围等多种类型,如何根据实验目标做出准确选择,从而确保电泳条带清晰、转膜高效并准确定位目标蛋白呢?

   

01
蛋白Marker的功能

     

a) 作为分子量参照标准,用于判断目标蛋白的分子量大小;

b) 监测电泳过程的进行情况;

c) 评估Western Blot中的蛋白转膜效率。

 

02
蛋白Marker的分类

    

预染蛋白Marker

预染蛋白Marker通过染料共价结合形成彩色条带,其最大优势在于实时可见性,能够在实验过程中提供直观参考,主要作用包括:

a) 可根据预染Marker的迁移情况,判断目标蛋白是否进入最佳分离区域,以优化电泳终止时间;

b) 若Marker出现异常迁移,可及时中断电泳,避免实验失败;

c) 转膜后可直接观察转膜是否完全,并在膜上标记蛋白分子量。

然而,由于染料共价修饰可能在不同缓冲条件下影响蛋白质的迁移行为,预染Marker在分子量判定上可能存在一定偏差,因此不适用于精确定位。

marker 不同体系对比.jpg

 非预染蛋白Marker

非预染蛋白Marker在电泳过程中不可见,需在电泳结束后通过蛋白质染色方显影,属于“染色后观测”型。虽然无法在实验过程中提供实时参考,但由于其未经染料修饰,所显示的蛋白条带分子量准确,适用于精确判定蛋白大小。

   

03
蛋白Marker的功能分类选择

  

类型 适用场景

预染

蛋白Marker

• 目标蛋白分子量近似估算

• 电泳进程实时监控

• Western Blot转膜效率评估

非预染

蛋白Marker

精确测定目标蛋白分子量

 

04
常见问题解答

  

Q1  Marker是否需全部显带?

若说明书标注为7条带,实际电泳中出现6条带也属正常,可能与电泳时间不足有关。若非检测极小分子蛋白,建议待溴酚蓝前沿泳出凝胶后再停止电泳,通常可呈现全部条带。有时仅显示5条带,但只要目标蛋白对应分子量上下两条Marker清晰可见,即可满足一般判断需求,不必强求全部条带显现。

 

Q2  为何不同凝胶体系中蛋白Marker迁移行为存在差异?

在不同SDS-PAGE缓冲系统(如Bis-Tris与Tris-甘氨酸)中,相同蛋白质的迁移率可能发生轻微变化。各缓冲体系pH值不同,会影响蛋白质所带电荷及与SDS的结合能力,进而改变其电泳迁移行为。此现象在预染蛋白Marker中尤为明显,因其经化学修饰后对缓冲条件更为敏感。

因此,在使用预染蛋白Marker时,建议根据实际所用的凝胶体系参考对应的表观分子量,以提高目标蛋白定位的准确性。

 

05
万生昊天产品推荐

  

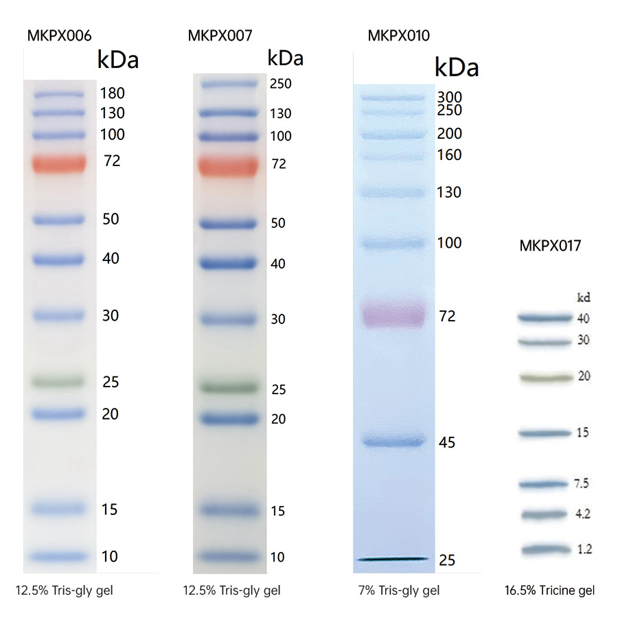
 三色预染宽分子量蛋白Marker (MKPX006)

常规范围(10-180 kDa),经典适用,条带清晰易辨。

  

 三色预染宽分子量蛋白Marker(MKPX007)

更宽范围(10-250 kDa),满足绝大多数蛋白检测需求。

 

 三色预染高分子量蛋白Marker (MKPX010)

覆盖高分子量区间(25-300 kDa),适用于大分子蛋白检测。

  

 彩虹预染低分子量蛋白Marker (MKPX017)

低分子量范围(1.2-40 kDa),小分子蛋白与多肽检测的理想选择。

预染marker.jpg

如果您想进一步了解特定蛋白Marker的详细技术参数或获取产品资料,欢迎随时给我们留言。关注【万生昊天生物】,我们将持续分享更多实验干货与解决方案。

推荐阅读

▶  实验指南 | 蛋白样品制备1——细胞裂解完全指南

▶  实验指南 | 蛋白/核酸电泳别踩坑!这些实操技巧让你条条清晰,结果稳定重复!

▶  实验指南 | 十大WB条带异常汇总!1分钟弄懂蛋白条带为什么奇形怪状

▶  实验指南 | 守护你的条带:预制凝胶储存,切记“冷藏”勿“冷冻”!

▶  双11科研钜“惠”季 | 品质不打折,费用降一半!老板直夸会过日子

▶  万生昊天 | 致敬诺奖:探索Treg细胞之谜,蛋白预制胶助力科研突破!

▶  重要通知 | Tricine-PAGE 系列产品升级来袭,实验效率直接拉满!

▶  新品速递 | 颠覆传统!免封闭通用型抗体稀释液:WB实验省1小时,抗体省50%!

▶  新品速递 | IP/Co-IP试剂盒+免疫磁珠,提速40%的蛋白互作黄金搭档!

▶  重要通知 | 万生昊天蛋白预制胶产品名称变更公告

▶  电泳视界 | 蛋白预制胶:玻璃面板 VS 塑料面板,选谁更明智?

▶  电泳视界 | Tris-Glycine vs Bis-Tris预制胶终极指南:国产技术突破与高分辨率实验方案全解析

▶ 告客户书Vol.2 | 特殊预制胶替代方案深度解析——精准实验不“断粮” !

▶  印迹解码 | 大分子蛋白转膜总失败?甲醇浓度这个「隐形开关」你调对了吗?

▶  官宣 | 液体产品包装焕新升级,每一处改变都为您而来

▶  关税压力下的科研平替方案 | 万生昊天电泳全系平替宝藏产品来了~

▶  印迹解码 | WB 实验总翻车?这份内参抗体速配指南帮你避开 99% 的坑(附福利)

▶  告别模糊条带!万生昊天Tris-Glycine预制胶,30分钟交出完美数据!

▶  电泳视界 | Western blot条带又拖尾?5大元凶对照表,从点样到染色一网打尽!

▶  新品速递 | Western实验全明星登场!告别信号模糊 & 背景干扰,解锁高效科研新体验!

END

关于万生昊天

上海万生昊天生物技术有限公司(简称本公司)为一家广受认同的生物科技公司,专业提供各类分子生物学技术产品生产、销售、并提供相关技术服务的企业。公司拥有一支结构配置合理的研发、生产和销售团队。拥有附属公司安徽昊拓专业的生产基地和实验室。公司致力为客户提供高质量、低价格的生物技术服务和产品。

 

公司自2016开发了系列电泳类产品,在国内国际市场获得一致认可,客户遍布世界著名大学和研究机构。公司坚持以技术创新为先导,打造一流的科技服务平台和生产基地;同时公司秉承客户至上的原则,竭诚为生物技术产业提供优质、高效、低成本的技术服务和产品,为生命科学的研究与发展提供强大的支持。

签名档.jpg

上海万生昊天生物技术有限公司 商家主页

地 址: 上海市闵行区浦江镇江凯路199号1号楼810室

联系人: 万生昊天

电 话: 021-50917892

传 真: 021-50917892

Email:service@wshtbio.com

相关咨询
ADVERTISEMENT